Unidades de traumatología
Unidad de Cirugía de Mano y Muñeca
Especialistas en Cirugía avanzada y técnicas mínimamente invasivas


La Unidad de Cirugía de Mano y Muñeca está dedicada al diagnóstico y tratamiento integral de las patologías de la mano, muñeca y nervios periféricos.
Somos referentes en técnicas:
artroscópicas y endoscópicas,
Incisiones mínimas
Menor dolor postoperatorio
Recuperación más rápida
Preservación de tejidos
Artroscopia de Muñeca


La artroscopia permite tratar lesiones complejas a través de pequeñas incisiones de 2–3 mm, con mínima agresión tisular y recuperación más rápida.
Indicaciones frecuentes:
• Lesiones del fibrocartílago triangular (FCT)
• Inestabilidad escafolunar
• Dolor cubital de muñeca con pruebas normales
• Sinovitis crónica
• Fracturas intraarticulares
Técnicas destacadas:
• Reparación foveal artroscópica
• Reconstrucciones ligamentarias asistidas por artroscopia
• Tratamiento de inestabilidades carpianas disociativas
Aplicamos técnicas artroscópicas en el tratamiento de:
Rizartrosis (artrosis trapeciometacarpiana)
Sinovitis del pulgar
Lesiones ligamentarias
Permite realizar procedimientos como:
Trapeziectomía artroscópica
Ligamentoplastias mínimamente invasivas
Preservación articular en estadios iniciales
Artroscopia de Pulgar


Tratamiento avanzado de la compresión del nervio mediano mediante técnica endoscópica.
Ventajas frente a la técnica abierta clásica:
Incisión mínima
Menor agresión tisular
Recuperación funcional más rápida
Incorporación precoz a la actividad
Indicada especialmente en:
Pacientes activos
Trabajadores manuales
Casos bilaterales
Cirugía endoscópica del túnel carpiano








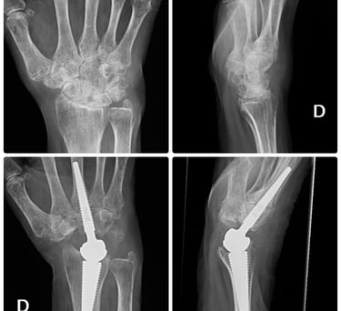
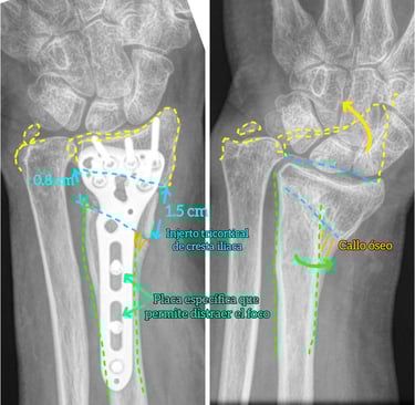
Prótesis de muñeca y dedos.
Prótesis para rizartrosis.




Osteotomías correctoras con planificación 3D
Transferencias nerviosas y tendinosas
Artrodesis totales o parciales
Especialistas en cirugía prótesica
Tratamiento de secuelas y casos complejos
Unidad de Cirugía de Pie y tobillo
Especialistas en Cirugía avanzada y técnicas mínimamente invasivas


La Unidad de Cirugía de Pie y tobillo está dedicada al tratamiento integral de las patologías del pie, retropié y tobillo
Somos referentes en técnicas:
artroscópicas y endoscópicas,
Incisiones mínimas
Menor dolor postoperatorio
Recuperación más rápida
Preservación de tejidos
Tratamiento avanzado con incisiones de 2–3 mm
✔ Inestabilidad crónica de tobillo
✔ Lesiones condrales
✔ Impingement anterior y posterior
✔ Os trigonum
✔ Artrodesis asistida por artroscopia
➡ Menor agresión quirúrgica
➡ Recuperación más rápida
➡ Máxima precisión intraarticular
Técnicas: Artrodesis asistida por artroscopia
Desbridamiento condral y PRP
Artroscopia de tobillo






Cirugía percutánea del antepié
Corrección estructural con mínima agresión tisular
✔ Hallux valgus (juanete)
✔ Metatarsalgias
✔ Dedos en garra y martillo
Técnicas: Osteotomías guiadas
➡ Incisiones milimétricas
➡ Menor inflamación
➡ Mejor resultado estético
➡ Deambulación precoz


Reconstrucción biomecánica del pie
Cirugía personalizada en deformidades complejas
✔ Pie plano del adulto
✔ Insuficiencia tibial posterior
✔ Pie cavo
✔ Secuelas neurológicas
➡ Osteotomías estratégicas
➡ Transferencias tendinosas
➡ Restauración del eje mecánico


Prótesis de tobillo y artrodesis avanzada
Soluciones definitivas para artrosis avanzada
✔ Artrosis tibioastragalina
✔ Artrosis subastragalina
✔ Hallux rigidus severo
➡ Prótesis total de tobillo
➡ Artrodesis anatómica
➡ Recuperación funcional orientada al paciente activo
